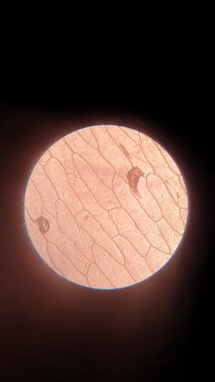
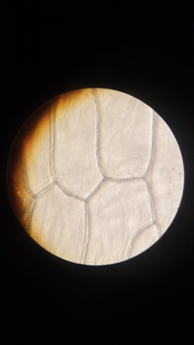
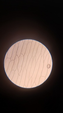
Les élèves de 6e ont eu l'opportunité de découvrir le fonctionnement d'un microscope en observant des structures animales telles que le foie, les muscles et l'intestin. Ensuite, ils ont créé leurs propres lames à partir d'épiderme d'oignon et les ont observées. Cette comparaison leur a permis de comprendre que la cellule est une structure commune à tous les êtres vivants. Une belle leçon de biologie !
PIERRE DUTHEL | 18/12/2025 | 267 vues




















